
Veneers
Dr. Byron J. Nordhus offers veneers, a cosmetic treatment that can hide those imperfections and make your smile unforgettable.
Find out why veneers are such a popular option at our dental practice serving Wichita and West Wichita, KS.
Ready for a Brand-New Smile? Schedule Your Veneers Consult Today
Veneers offer life-changing results. If you have been putting off addressing aesthetic blemishes, the dental team at Nordhus Dentistry can give you something to really smile about. As a patient-centered practice, we take the time to truly listen so you can enjoy the precise results you've wanted. To request more information about veneers or book your initial consultation, contact us online or call our Wichita office at:
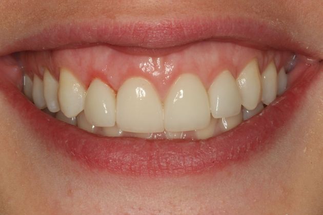
What Are Porcelain Veneers?
Veneers are thin porcelain shells that cover the front surfaces of anterior teeth. They can conceal a range of imperfections, from chips and cracks to stains and gaps. Each veneer is custom-crafted to look completely natural so that everyone around you notices your stunning smile—not your dental work.
Dental veneers can be made from several different materials, but Nordhus Dentistry prefers porcelain for its unbeatable aesthetic benefits. Porcelain is a semi-translucent material, so porcelain veneers reflect light in the same way natural enamel does. The material's shade can also be easily customized to match the look of the natural surrounding teeth or to give your smile a brightened boost.

Top Benefits of Veneers
A Versatile Treatment
Few cosmetic treatments can address the wide array of cosmetic problems that veneers can. Whether you have a tooth that is discolored, chipped, cracked, misshapen, or small, our esteemed dentist, Dr. Nordhus, can customize a cosmetic treatment using porcelain veneers to beautify your smile.
Beautiful Results
There’s a reason that so many celebrities and models turn to veneers to deliver dramatic cosmetic results. Advanced cosmetic dentistry techniques make veneers look completely natural while giving your smile a dazzling upgrade. Dr. Nordhus can give you results that make it hard not to smile!
Improved Self-Image
Life is too short to live with insecurities about the appearance of your smile. Numerous studies have described how important our smiles are. An attractive smile conveys youth, confidence, and beauty. Whether you are pursuing career advancement, personal fulfillment, or a new romantic relationship, a beautiful smile is a great place to start.
A Lasting Solution
This dental solution can last for well over 10 years with proper care. Porcelain has stain-resistant properties that allow your smile to remain white. Patients can add to the life of their porcelain veneers by refraining from smoking, practicing good oral hygiene habits, and visiting our Wichita, KS, office twice a year for cleanings and exams.
Hear More About Veneers From Dr. Nordhus Himself
See What Veneers Did for This Patient And Imagine What They Can Do for You
Veneers are designed to create true transformations. In combination with complementary treatments like gum contouring or clear orthodontic aligners, you may not even recognize your smile once your cosmetic care is completed.
To get a sense of what's possible with veneers, check out this patient's transformation or visit our photo gallery for more.
5-Star Reviews For Nordhus Dentistry
I think this is the best dentist office I have ever been in. The staff and Dr. Nordhus couldn't be nicer. They are kind, considerate and very professional. I highly recommend it!
View on GoogleGreat educational experience. Very through. Experienced staff. Gental hands. Highly recommended!
View on GoogleA Closer Look At What Veneers Can Treat
Minor Chips
Accidents happen. Over the course of many years, small chips can accumulate and blemish an otherwise attractive and healthy smile. If your teeth have suffered damage that cannot be addressed through cosmetic bonding, our office can fabricate a thin porcelain shell that can cover your teeth and transform the appearance of your smile.
Discoloration
Teeth whitening can only address mild extrinsic stains. Staining that affects the deeper layers of your tooth, such as those that result from tetracycline, does not respond to teeth whitening. If your teeth are severely discolored, porcelain veneers from our Wichita dental office can brighten your teeth by several shades.
Misshapen Teeth
Veneers can make teeth appear to have a completely different shape. Dental veneers can be fabricated to enhance the appearance of a small tooth or teeth or to fill gaps between teeth. If the size or shape of your tooth has been bothering you, our dentist has the right solution.
The Veneers Timeline At Nordhus Dentistry
Reshaping the teeth and placing the veneers isn't especially uncomfortable, but sedation is available upon request to put you at ease.
More Wonderful Reviews For Our Wichita Dental Practice
Magnificent and highly professional dental care from Dr. Nordhus, informative and practical dental hygiene tips from Michelle, and friendly smiles and conversation from Ashley at the front desk, I would recommend this dental office to everyone. This amazing staff makes all of my family’s dental visits incredible.
View on GoogleMy husband started going to Nordhus Dentistry and had an amazing experience. I had extreme anxiety about going to the dentist, the staff at Nordhus helped calm all of my worries. I have never felt pressured into any procedure and all of the staff are wonderful!
View on GoogleAre Veneers Covered by Insurance?
Because veneers are an elective cosmetic treatment, they are unfortunately not covered by dental insurance. However, we accept flexible financing through CareCredit® to keep all of our treatments affordable. You can secure a loan for your veneers and repay it in monthly installments that work for your budget.
Maintaining Your Results
You will be given detailed instructions on how to maintain your veneers, including:
- Don't use your teeth to tear or pry open objects or packages. Doing so could cause your porcelain veneers to come loose.
- You'll want to take steps to maintain optimal oral health so your underlying tooth structure does not develop decay.
- Though porcelain is stain-resistant, try to minimize the consumption of staining foods and drinks to keep them brighter for longer.
Want a More Comprehensive Enhancement? Consider a Smile Makeover
Some of our patients from West Wichita and surrounding areas can benefit from a comprehensive dental treatment called a smile makeover. The fully customizable treatment can save you time and money. For most patients, this treatment option cuts down on the number of hours and visits that are needed to achieve the desired results. Depending on your cosmetic needs and personal goals, our dentist can customize a treatment plan that includes:
- Dental Bonding
- Porcelain Veneers
- Invisalign
- Laser Gum Reshaping
- Teeth Whitening
- Tooth-Colored Fillings

"Best dentist I have ever had." We Thank Our Patients for Their Kind Words
After every appointment — I am a firm believer that this is definitely the best dentist I have ever had. Great office staff, great dental hygienist and great dentist!!
View on GoogleExtremely greatful to have found nordhus dentestry, everyone is so kind and effective, thank you
View on Google




